Верукозният карцином е сравнително рядък подтип на плоскоклетъчния карцином с ниска степен на малигненост и много редки метастази - предимно на много късен етап от развитето на заболяването. Описан е от Friedell и Rosenthal през 1941 година, а през 1948 Ackermann дава по-подробна характеристика на тумора. Авторът нарича новообразуванието устна карфиол папиломатоза, като този термин се използва в някои литературни източници и до днес. Според Ackermann това е локално инвазивен, неметастазиращ вариант на плоскоклетъчния карцином с предимно екзофитен растеж. Като относителен дял заема между 4 и 5 % от плоскоклетъчните карциноми на устната кухина; развива се първично в областта на бузите, устните, пода на устната кухина, езика и гингивата на горна и долна челюст.
Заболеваемостта от рак на лигавицата на устната кухина варира значително в световен мащаб. Докато във Финландия всяка година се установяват едва 0.7/100 000 новозаболели, то в Мумбай (Индия) се регистрират около 10/100 000. Причините за това са от доста комплексен характер - по-висока здравна култура на населението, по-добра организация на здравеопазването (скринингови прегледи и ранно откриване на потенциално малигнени лезии), по-добро общо качество на живот, съответно по-малко количество увреждащи фактори и т.н. В България заболелите от малигнени неоплазми на устната кухина са около 3/100 000 жители по последни данни. Заболяването се проявява най-често във възрастта 50 - 60 години, като в последно време има тенденция към засягане на все по-млади хора. Етиологията на карциномите мултифакторна, като за рискови фактори се считат пушенето на тютюн и марихуана, злоупотребата с концентриран алкохол и лошата хигиена. Различни хронични механични травми (неудобни снемаеми протези), драстични атмосферни въздействия, неправилното и недоимъчно хранене могат да подсилят действието на другите етиологични фактори, при което честотата на карциномите на устната лигавица рязко нараства. Инфекцията с някои онкогени серотипове на Human Papiloma virus (HPV) може да играе основна роля при малигнената трансофрмация на епителните клетки, като предходните атрофични глосити и левкоплакиите са допълнителен предразполагащ фактор. Едва през последните години поради бързото развитие на молекулярната биология стана възможно да се установи високата честота на инфекцията с някои щамове на HPV. Те се изолират както в диспластични участъци при преканцерози (понякога дори при 70 % от случаите), така и при вече напреднал в развитието си карцином на устната кухина. C PCR техника се доказва наличието на HPV ДНК в 40 - 70% при сквамозен и в около 60% от клетките на верукозвен карцином. За сравнение, при нормална орална мукоза вирусната ДНК се среща едва в 1 % от клеткие. Дълго време изследователите са имали единствено подозрения относно онкогенните потенции на някои ДНК вируси. Поради особените им свойства обаче (невъзможност за култивиране и несигурна серологична диагностика) не е било възможно доказването на канцерогенната роля на вирусите. Вирусът прониква в базалните епителни клетки, като това проникване се благоприятства от микролезии в повърхностния епител. В инфектираната клетка се транскриптира матрична РНК, кодираща вирусните протеини Е6, Е7 и Е5, а по-късно и Е1, Е2 – протеините на репликацията. Стимулираната репликация води до амплификация на вируса - произвеждат се вирусни частици в многократно по-голямо количество спрямо първоначално навлезлите в организма вируси. Този процес е заложен в основата на повечето инфекциозни вирусни заболявания, поради което тези заболявания в много случаи представляват опасност за всяка една растителна, животинска или човешка популация. Вирусната ДНК може да персистира в клетката и без да се реплицира, като по неизвестни засега причини вирусът може да се реактивира в даден момент. Експериментално е установено (с помощта на ДНК-хибридизация в клетъчна линия) че HPV серотип 16 се интегрира в генома на човешки епителни клетки и го пренастройва към синтез на онкопротеини. Голямо значение има и възрастта на пациента. В над 70 % от хората под 60 години с карцином на устната лигавица е налице асоциация с HPV от серотипове 11, 16 или 18, докато при по-възрастните от 60 години тази асоциация се открива при едва 30 % от хората. Най-вероятно при възрастните пациенти участието на ДНК вирусите не е толкова значително, колкото в по-ранна възраст - което е логично, тъй като при младите хора процесите на пролиферация на епителните клетки са доста по-активни. Колкото по-бурно се делят клетките и колкото по-активен е метаболизмът на организма изобщо, толкова по-вероятно е да се осъществи вмъкване на вирусната ДНК в генома на клетката, което от своя страна води до малигнена трансформация. Откриването на серотип 16 или 18 на вируса в 50 - 100 % от случаите на орални карциноми едновременно в първичното огнище и в метастазите е още едно доказателство за неговото силно онкогенно действие и има прогностично значение. Инкорпорирането на вирусната ДНК в генома на клетката изглежда по следния начин:

Подобно вмъкване на чужда генетична информация в клетъчната ДНК може да доведе до тотална промяна на инструкциите за биологично поведение на клетките и тъканите, заложени в генома - което представлява същността на канцерогенезата. Започва един неконтролиран растеж и инфилтрация на околните тъкани, което в крайна сметка продължава до пълното изчерпване на ресурсите на организма и летален изход. Този процес на трансформация под въздействието на вируси е описан при повечето тумори с епителен произход, както и при много лимфоретикуларни неоплазии - като при последните основна роля пък играе вирусът на Епщайн - Бар. При верукозния карцином също се открива наличието на ДНК от папиломен вирус.
Типични локализации на верукозния карцином са кожата на стъпалото, пениса, вагината, перианалната област и лигавицата на устната кухина. Появява се екзофитна формация, която постепенно нараства и може да достигне значителни размери. Поради сравнително благоприятното биологично поведение на верукозния карцином той не изчерпва толкова бързо ресурсите на организма, колкото това се случва при други варианти на плоскоклетъчния карцином. Верукозният карцином просто расте и расте до безкрай, като в много случаи достига диаметър дори 15 - 20 сантиметра и повече; растежът е бавен (както вече стана въпрос) и организмът успява да компенсира и да изхранва формацията безпроблемно. При локализация върху стъпалото може да се стигне до инфилтрация първоначално на плантарната фасция, а впоследствие дори до подлежащата кост. Началният период от развитието на верукозния карцином нерядко протича напълно безсимптомно. Не е установено кога точно настъпва малигнената трансформация на различните преканцерозни лезии, а и в много случаи туморът възниква първоначално като залокачествена неоплазия. Появяват се възловидни формации и повърхностни лезии, които постепенно се увеличават. Впоследствие се появява болка, кървене, повишена саливация, неприятен мириз от устната кухина (foеtor ex ore). С напредването на процеса болките стават все по-силни, дълбоки, продължителни и мъчителни; имат локален характер, но понякога ирадират към съседни области и органи – челната област, ухото (оталгия), шията, орбитите и други. Саливацията се увеличава поради дразненето на лигавицата от продуктите на разпада на тумора и инфектирането му. В терминална фаза верукозният карцином бързо се разпространява и придобива биологичното поведение на агресивните залокачествени неоплазии. При първична локализация на тумора в областта на устнтие и езика (които са най-чести) той впослдствие инфилтрира пода на устната кухина, гингивата, мандибулата, лигавицата на бузите, предната тонзиларна дъга и тонзилите. Увреждането на тези органи води до кахексия, интоксикация на организма и летален край.

Макроскопски изглед на верукозен карцином на езика. Формацията расте на широка основа и много рядко на краче. Разполага се винаги екзофитно - не са описани инвертирани форми на верукозния карцином подобно на инвертните папиломи. Възможно е да достигне значителни размери, доста по-големи от тези на сквамознноклетъчния карцином. Това се дължи на биологичното поведение на тумора - метастазите са редки, на доста късен етап от развитието. Поради това процесът нараства принципно повече и не създава проблеми в организма, освен от локално естество - затруднено хранене и дискомфорт. Подобни биологични закономерности са храктерни за туморите с ниска степен на малигненост; обратно, тези с висока степен обикновено не достигат големи размери, тъй като пациентът търси медицинска помощ бързо след появата им. Най-бързо се явяват клинични симптоми при интракраниалните неоплазми, като това се случва дори и при бенигнените такива - повишава се вътречерепното налягане, болният започва да изпитва силно, дори непоносимо главоболие и бързо отива на преглед при лекар. Това се случва около месец или два след възникването на процеса - докато при неоплазми на вътрешните органи оплаквания се явяват на много късен етап, при силно авансирал процес.
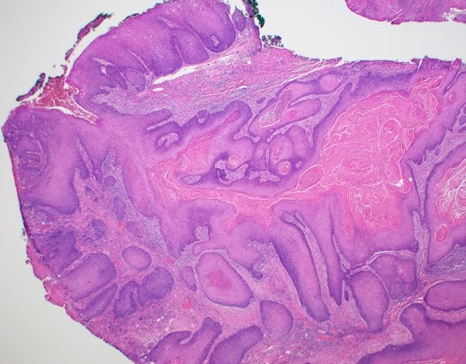
При хистопатологично изследване се установява че туморните лезии в началния стадий особено в повърхностните си части имат прилика с брадавици. Налице е хиперкератоза, паракератоза и акантоза. Кератиноцитите са еозинофилни и имат малки ядра. Хистологично по-голямата част от тумора е съставена от добре диференциран сквамозен епител. Екзофитната повърхност включва дълги папиломатози гънки, които обикновено са покрити от голямо количество орто- и паракератин. Последният покрива и дълбоката част на инвагинациите. Не съществува единно становище по въпроса дали верукозният карцином е самостоятелна нозологична единица или всъщност е екзофитна форма на спиноцелуларния карцином; в последно време обаче се приема че всъщност карциномите на покривния епител са само два типа - базоцелуларен и спиноцелуларен. Следователно верукозният карцином се класифицира към плоскоклетъчния карцином. В подкрепа на това становище е наличието на много смесени варианти - верукозен карцином, сред клетките на който се откриват гнезда от клетки на типичен плоскоклетъчен карцином - коекзистенция на два малигнени тумора. Много често се наблюдава и анапластична трансформация - първоначално се развива типичен верукозен карцином, който впоследствие се превръща в типичен плоскоклетъчен карцином. При наличие на гнезда на спиноцелуларен карцином биологичното поведение на тумора е потенциално по-малигнено в сравнение с вариантите без такива гнезда. Подтип на верукозния карцином е Epithelioma cuniculatum (Carcinoma cuniculatum или тумор на Ackerman по името на откривателя). Този тумор съдържа добре диференцирани епителни клетки с нисък клетъчен атипизъм. Има грапава повърхност и дълбоки инвагинации, изпълнени с кератин. Те навлизат на голяма дълбочина в съединителнотъканната строма, която е нежна и не съответства като количество на обилно разрастващия туморен паренхим.



Верукозен карцином - в много участъци образуванието наистина прилича на брадавица. Въпросът дали брадавиците са преканцероза и дали на базата им възникват малигнени тумори е все още дискутабилен. Все пак макроскопски и особено микроскопски верукозният карцином много наподобява брадавиците, както се вижда на хистологичните срезове. От там произлиза и названието на този тумор, който определено се класифицира към малигнените неоплазми. В миналото изследователите са оприличили верукозния карцином на verruca vulgaris и затова са го нарекли именно по този начин. Това обаче не бива да отключва канцерофобии у нито един пациент, тъй като брадавици има почти всеки индивид на планетата Земя и далеч не всяка от тях дегенерира в карцином - дори развитието на верукозен карцином на тази база е по-скоро казуистична рядкост. Хигиената, редовните профилактични прегледи дори само при общопрактикуващ лекар, избягването на алкохола и тютюнопушенето са достатъчни за превенцията на развитието на малигнени процеси в човешкия организъм.



Микроскопски изглед на лимфоепителиом - вариант на плоскоклетъчния карцином. Сред обилно разрастналия туморен паренхим се наблюдава също толкова обилна лимфоцитна инфилтрация. Диференциацията на тумора е ниска - налице е анапластичен характер, съответно прогнозата е доста по-неблагоприятна. Този тип карциноми се форрмират понякога на базата на класическите плоскоклетъчни карциноми и верукозните карциноми, поради което публикуваме информация и за тях в съответните секции на нашия сайт. В даден момент по неизвестни причини сред клетките на карцинома (които, както е известно, са епителни), навлиза обилен лимфоцитарен инфилтрат и карциномът се превръща в лимфоепителиом. Клинично не настъпва съществена разлика във вида на тумора - налице е типична карциномна язва или екзофитно разрастваща се формация.
Стадиите на верукозния карцином съгласно TNM - системата са следните:
Tis - тумор in situ
T1 – Тумор с размер до 2 смантиметра
T2– Тумор с размер от 2 до 4 смантиметра
T3 – Тумор над 4 сантиметра в най-големия диаметър
T4 – Тумор инфилтриращ съседни структури
N0 – Без уголемени регионални лимфни възли
N1 – метастази в единичен хомолатерален лимфен възел до 3 сантиметра
N2 – метастази в един хомолатерален лимфен възел от 3 до 6 сантиметра, също в билатерален или контралатерален лимфен възел от 3 до 6 сантиметра
N2a– метастази в единичен хомолатерален лимфен възел от 3 до 6 сантиметра
N2b– метастази в повече хомолатерални лимфни възли с общ размер до 6 сантиметра
N2c– двустранни и контралатерални метастази до 6 сантиметра
N3 – метастази в лимфен възел над 6 сантиметра
M0 – няма далечни метастази
M1– има далечни метастази
МХ - не е възможно да се установи липсата или наличието на далечни метастази
Лечението на верукозния карцином е радикално хирургично - ексцизия на формацията в здрави граници. Поради по-малката инвазивност на заболяването резекционните линии могат да бъдат донякъде по-близо до границата здрава - патологично променена тъкан; при плоскоклетъчния карцином изрязването е на 2 - 2.5 сантиметра от видимо променената тъкан, докато при верукозния карцином то е допустимо да бъде на около 1.5 см. При млади пациенти е удачна ваксинация срещу човешки папиломавирус. Малки по размер тумори могат да бъдат третирани с течен азот или въглеродно - диоксиден лазер. Следва да се има предвид че заздравителният период при подобни манипулации е дълъг и изисква пролиферация на околните тъкани до покриването на дефекта; при склонност към малигнена трансформация в засегнатата област всяко обилно разрастване на тъкани крие потенциален риск от повторно формиране на неопластичен процес.
Езикът се изтегля напред с цел да се осигури видимост и оперативен достъп
Асистентът придържа формацията, а операторът започва резекцията. При малигнените формации винаги съществува проблем - неясните граници спрямо околните здрави тъкани. Това се дължи на инфилтративния растеж на малигнения процес и изисква отдалечаване на резекционните линии от видимо променената тъкан.
В областта на езика кървенето е обилно, тъй като органът е отлично кръвоснабден. Това налага да се работи по възможност бързо, като се изизква добра аспирация. Използването на електрокаутер до голяма степен намалява кървенето, тъй като малките кръвоносни съдове се коагулират. Допълнителна полза от електрохирургията е по-добрата абластичност - коагулацията на артериолите, капилярите и особено на венулите предпазва от микроразсейки на неопластични клетки в здравите тъкани. Оперативната интервенция е силно инвазивна манипулация и по чисто механичен начин води до откъсването на единични клетки от основната туморна маса и вторични разсейки. Тези закономерности не са валидни при доброкачествените тумори.
Отделя се туморната маса заедно с част от езика - парциална глосектомия
Неопластичният процес е премахнат цялостно

Снимка на резецирания неопластичен процес с част от езика. В случая не се касае за хемиглосектомия - премахване на 1/2 от езика (от латински хеми - половина). Резецираният обем представлява около 1/3 от целия тъканен обем на езика; при премахване на целия орган пък се говори за тотална глосектомия.
Започва съединяването на оперативната рана - с помощта на шев. В този случай това се извършва първично, с мобилизация на тъкани по съседство. Не е приложена никаква реконстркция на езика, тъй като резецираният обем не е много голям. Не се очаква голям функционален дефицит - пациентът ще има известни затруднения в говора за период от няколко седмици, след което се изработват нови навици и затрудненията изчезват. Компенсаторните способности на езика са големи. При премахване на целия обем вече се налага реконструкция - като това може да се извърши с тъкани по съседство или от отдалечена област на организма. Добър ефект има делто-пекторалното кожно-мускулно ламбо; още по-добра реконструкция се получава със свободни миокутанни ламба с микросъдова анастомоза.
При по-голямата част от пациентите с верукозен карцином прогнозата на заболяването е добра. Честотата на рецидивите варира в широки граници - от 6 % до 40 %. В много случаи при рецидив се формира класическата форма на плоскоклетъчен карцином, при което прогнозата донякъде се влошава.