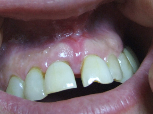
Къс френулум на горна устна

Късият френулум на горната устна се среща сравнително често. Това е отклонение от нормата, което не е само естетичен проблем - в много случаи става причина за говорни дефекти и възпаления. Френулумът придърпва зъбния венец, отлепва го по чисто механичен начин от зъбите и там започва да се задържа храна. Това става причина за възпаления. Ако не се вземат своевременни мерки, възпаленията се задълбочават и могат да станат причина за рецесия на венеца или дори за разклащане с последваща загуба на зъба. Решението на проблема е изрязване (ексцизия) на френулума със стоманен скалпел или лазер.

www.dentalimplants.bg   Лимфна дисекция по Ванах   Зъбни импланти

Лицево - челюстна хирургия    Nobel Biocare    Щифтово изграждане